Bij een unicompartimentele knieprothese (UKP) - halve knieprothese in de volksmond - vervangen we enkel het versleten gewrichtscompartiment.
Slijtage van het kniegewricht of artrose van de knie ontstaat doordat de kraakbeenlaag die de botten van het kniegewricht bedekt, kapot gaat. Typische klachten zijn pijn tijdens het stappen, maar ook zwelling of mobiliteitsproblemen komen voor. Bij ernstige vormen van artrose ontstaat er X- of een O-been. Dit komt meestal op oudere leeftijd voor.
We kunnen de diagnose van artrose van de knie stellen door een goed onderzoek op de raadpleging. Als je bovenstaande klachten herkent, voeren we tijdens de raadpleging een bijkomend radiografisch onderzoek uit: een radiografie van de knie vanuit 4 verschillende invalshoeken.
Op basis van deze onderzoeken bepalen we de ernst en de locatie van de artrose. Soms is een bijkomend onderzoek (een CT of MRI) nodig.
De knie bestaat uit drie delen (gewrichtscompartimenten)
In veel gevallen is er slechts één van de drie compartimenten versleten. Meestal gaat het om het compartiment aan de binnenzijde (mediaal).
We stellen de diagnose op basis van een radiografie. Op onderstaande foto zie je een radiografie van een gezonde knie en van een knie met een duidelijke gewrichtsvernauwing van het binnenste (mediale) compartiment. Er is bot-op-bot contact. Enkel het binnenste (mediale) compartiment is aangetast. Ter hoogte van het buitenste kniecompartiment is er geen artrose te zien.
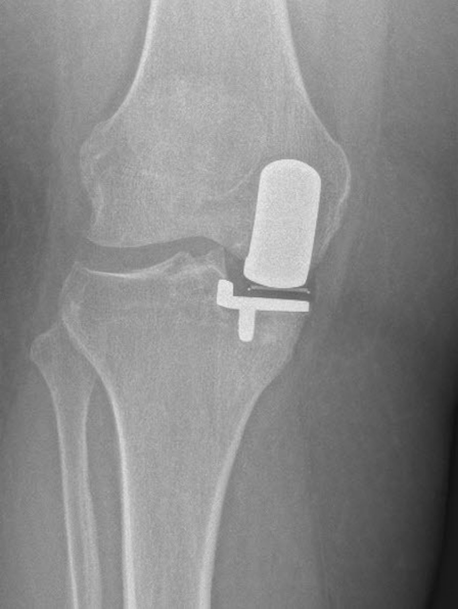
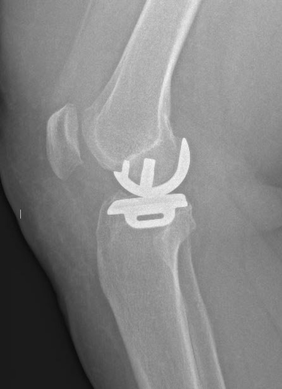
De prothese bestaat uit 3 componenten: een bolvormige component die op het dijbeen wordt geplaatst en een vlakke component die op het dragend deel van het scheenbeen wordt geplaatst. Daartussen zit een mobiele component die de functie van de meniscus overneemt.
Door enkel het versleten gewrichtscompartiment te vervangen blijven de intacte ligamenten, kraakbeen en meniscus van het buitenste (laterale) compartiment bewaard. Ook de beide kruisbanden blijven onaangeroerd. Dat heeft tal van voordelen:
De componenten die gefixeerd worden op het dijbeen en op het scheenbeen bestaan uit een Chroom Kobalt Molybdenum legering. Daartussen zit een mobiel polyethyleen component dat gemaakt is uit ultra high moleculair weight polyethylene (UHMWPE).
Er zijn twee methoden om de componenten te fixeren: met botcement of cementloos. In de meeste gevallen gebruiken we de cementloze techniek. Bij de cementloze techniek groeit het bot van de patiënt in een speciale hydroxie-apatiet laag van de prothesecomponenten in. De keuze tussen de twee technieken hangt onder andere af van de botkwaliteit van de patiënt. Bij heel kleine patiënten of bij zwakke botkwaliteit fixeren we de prothese doorgaans mét cement.
Groenebriel 1
9000 Gent
GPS adres
Terhagen



